Je potrebné začať tým, že najjednoduchšie organizmy sa objavili už veľmi dávno; sú považovaní za najstarších obyvateľov planéty. Počas svojej existencie sa stali neskutočne odolnými voči rôznym výzvam. Dokážu prežiť aj v tých najnebezpečnejších prostrediach.
Tieto mikroorganizmy si pre seba zvolili veľmi pohodlný spôsob existencie - parazitizmus, najmä v ľudskom tele. Ako už bolo spomenuté, tieto mikroorganizmy sú neuveriteľne „škodlivé“ a perzistentné, a preto je niekedy také ťažké sa ich zbaviť.
Existuje niekoľko typov miest, kde parazity „prebývajú“. Prvý typ zahŕňa endogénne mikroorganizmy, to znamená tie, ktoré sú vo vnútri ľudského tela. Druhý typ zahŕňa exogénne parazity, ktoré sa ochotne „usadia“ na koži a spôsobujú rôzne kožné ochorenia.
Typy protozoálnych parazitov
V podstate existujú 4 druhy parazitov, ktoré „žijú dobre“ v ľudskom tele.
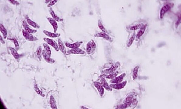
Bičíkovce
Patria sem Giardia a Trypanozómy. Táto trieda je predstaviteľom najstarších predstaviteľov parazitov. Toto meno dostali vďaka orgánu svojho hnutia: flagella. Veľkosť samotných parazitov je jednoducho mikroskopická, majú konštantný tvar a rozmnožujú sa spravidla rozdelením na dve časti.

Sú veľmi nebezpečné pre ľudí a zvieratá; ak sa dostanú do ich tela, spôsobia veľkú škodu. Spôsobujú aj rôzne choroby. Ako napríklad americká spavá horúčka, kožná leishmanióza a mnohé ďalšie. Môžu parazitovať v črevách, v krvi a na koži. Negatívne teda ovplyvňuje ľudské zdravie.
Sporozoans
Tento druh protozoálnych parazitov má veľmi zložitú cestu vývoja. V súčasnosti je známe, že trieda obsahuje približne 1400 druhov. Všetci zástupcovia si „vyberajú“ parazitický spôsob života a sú mimoriadne nebezpečné pre ľudí a zvieratá. Reprodukcia prebieha delením buniek.

Ako „miesto bydliska“ sa najčastejšie vyberajú ľudské alebo zvieracie tkanivá a orgány. Tento druh spôsobuje veľa chorôb. Napríklad malária, toxoplazmóza.
Ciliates
Patria sem balantidia. Existuje asi 7000 rôznych druhov. Orgánmi pohybu týchto parazitov sú riasinky, ktorých je veľa.

Zvláštnosťou tohto typu je prítomnosť dvoch jadier. Majú konštantný tvar tela a škrupinu. Reprodukcia sa zvyčajne vyskytuje v dôsledku rozdelenia. Tento druh nie je menej nebezpečný pre ľudí a zvieratá ako predchádzajúce dva.
Sarcodaceae
Patrí medzi ne amébová dyzentéria. Sú najprimitívnejšie zo všetkých typov a tried. Existuje asi 10 000 rôznych druhov! Nemajú stály tvar tela. Parazitujú u ľudí a zvierat.

Najčastejšie si pre svoju činnosť vyberajú tráviaci systém. Kvôli nim môže u človeka dôjsť k veľmi vážnym otravám. V niektorých prípadoch sú úmrtia bežné.
Tieto typy spája vysoká odolnosť voči rôznym „testom“. Koniec koncov, infikovaná osoba sa neustále snaží bojovať proti parazitom, ale nie vždy to funguje, pretože dokážu odolať všetkým opatreniam.
Prečo sú nebezpečné, aké choroby spôsobujú?
Protozoálne parazity sú skutočne veľmi nebezpečné pre ľudské zdravie. Môžu spôsobiť rôzne choroby, ktoré majú určité následky. V žiadnom prípade netreba podceňovať parazity prvokov, pretože môžu človeku výrazne ublížiť.
Choroby spôsobené protozoálnymi parazitmi:
malária
Toto ochorenie sa vyznačuje určitými zmenami. Niekedy dochádza k úľave, potom je úľava nahradená exacerbáciou symptómov. Hlavnými príznakmi sú bolesti hlavy, horúčka, nevoľnosť, vracanie a kŕče.

Po mnoho rokov sa chitín považuje za najlepšiu liečbu. K úmrtiam na toto ochorenie však dochádza aj najčastejšie na miestach, kde je medicína vyvinutá na nízkej úrovni.
Amébóza
Ďalšia nemenej nebezpečná choroba, ktorej následky môžu byť aj smutné. Pôvodcom je amébová dyzentéria.
Symptómy sa začínajú objavovať 7-10 dní po infekcii. Patrí medzi ne bolesť hlavy, celková nevoľnosť, horúčka a niektorí ľudia môžu mať žalúdočnú nevoľnosť. Nasledujú komplikácie, ktoré sa prejavujú pri problémoch s pečeňou. Ak pacient nezačne liečbu včas a nekonzultuje špecialistu, následky budú nezvratné.
Toxoplazmóza
Pôvodcom ochorenia je Toxoplasma gondii. Medzi príznaky tohto ochorenia patrí poškodenie očí, trpí nervový systém, ale aj kardiovaskulárny systém. Veľmi často je infekcia spočiatku nenápadná a prechádza, ako keby to bola bežná nádcha.

Infekcia počas tehotenstva je veľmi nebezpečná. Ak aj dieťa prežije, s najväčšou pravdepodobnosťou to bude s komplikáciami a poškodením zraku či nervového systému. Preto aj pri prvých príznakoch je nevyhnutné poradiť sa s lekárom.
Balantidiasis
Spôsobené mikroorganizmom, ako je balantidia. Príznaky tohto ochorenia zahŕňajú bolesti brucha a poruchy trávenia. V niektorých prípadoch je možná aj vysoká horúčka a intoxikácia tela.
Leishmanióza
Pôvodcom tohto ochorenia je leishmánia. Pri kožných a mukokutánnych prejavoch sa objavujú vredy. Pri mukokutánnych prejavoch môže často dôjsť k opuchu. Keďže tieto ochorenia sú spojené s dýchacím traktom, môže dôjsť k úmrtiu.
Leishmanióza sa vyskytuje hlavne v horúcich krajinách. Toto ochorenie je pomerne bežné a vyskytuje sa v 87 krajinách.
Ako vidíte, prvokové parazity sú neuveriteľne nebezpečné pre ľudské zdravie, napriek jednoduchej štruktúre mikroorganizmov. Môžu spôsobiť nenapraviteľné poškodenie ľudského tela, ako aj viesť k určitým následkom a komplikáciám.
Ako sa prenášajú?
Existujú 4 najbežnejšie spôsoby infekcie:
- Kontakt - domácnosť. Tento typ sa vyskytuje v dôsledku porušenia sanitárnych opatrení alebo hygienických pravidiel. Infekcia sa môže vyskytnúť pri rôznych činnostiach: používaním vecí iných ľudí, najmä výrobkov osobnej hygieny, riadu a podobne. Preto je veľmi dôležité dodržiavať pravidlá osobnej hygieny, mať vlastné produkty osobnej starostlivosti a za žiadnych okolností nepoužívať cudzie.
- Fekálne – orálne. Tento typ sa vyskytuje v dôsledku kontaktu s výkalmi alebo zvratkami. Prvok parazit sa dostane najskôr na ruky alebo do potravy „nového hostiteľa“ a potom do jeho tela.
- Z jedla. Tento typ sa vyskytuje v dôsledku konzumácie kontaminovaných potravín. Môžu to byť zle uvarené ryby alebo mäso, neumytá zelenina a ovocie a mliečne výrobky.
- Transmisívny. Tento typ sa vyskytuje v dôsledku prenosu z infikovaného objektu počas uhryznutia, to znamená cez sliny.
Ako sa ich zbaviť
Po prečítaní článku určite vyvstáva táto otázka. Infekcie protozoálnymi parazitmi sú veľmi časté, takže otázka ich zbavenia je nesmierne dôležitá.
Ako už bolo spomenuté, keď sa objavia prvé príznaky infekcie, mali by ste sa poradiť s lekárom. Špecialista môže predpísať určité testy a vyšetrenia. Po ich absolvovaní lekár stanoví presnú diagnózu. Potom musíte urýchlene začať liečbu. Neodporúča sa ani samoliečba, pretože ide o odborníka, ktorý môže pomôcť pri stanovení správnej diagnózy a predpísať vhodnú liečbu. Vo väčšine prípadov sa lekári uchyľujú k liečbe rôznymi liekmi, ktoré pomáhajú eliminovať parazity a urýchliť zotavenie človeka.
V modernej dobe existuje veľa rôznych dobrých liekov, ktoré pomáhajú pri infekciách prvokovými parazitmi. Na trhu je obrovské množstvo liekov, čo umožňuje nájsť ten správny pre konkrétneho pacienta.
Preventívne opatrenia
Aby ste sa nestretli s vyššie uvedenými problémami, je potrebné dodržiavať určité pravidlá, ako aj prijať preventívne opatrenia.
Najúčinnejšie pravidlá sú tie, ktoré sa deti učia v škole. V prvom rade nesmieme zabudnúť na dôkladné umytie ovocia a zeleniny. Môžete ho aj uvariť alebo odrezať šupku.
Ďalej nemôžete jesť surové ryby alebo nedostatočne tepelne spracované mäso. Je potrebné úplne pripraviť jedlo, dodržať teplotné a časové podmienky, aby sa produkt úplne uvaril. Malo by sa zabrániť náhodnému sexuálnemu kontaktu. Je tiež potrebné pravidelne absolvovať lekárske prehliadky.













